3-Tesla MRI
Discover what ultra wide bore 3T MRI can do for you.



( Westside: 122 West Castellano Drive with 3-Tesla and 1.5-Tesla systems - Eastside: 1727 Lee Trevino with a 1.5-Tesla system )
3-Tesla MRI
More comfortable. Higher quality images. MRls in half the time. Desert Imaging now offers state-of-the-art 3-Tesla MRI exams on our new ultra-wide bore uMR OMEGA™ system that delivers unrivaled speed, quality, and comfort to El Pasoans.
Our new MRI will increase diagnostic confidence, reduce patient stress/claustrophobia, and expand access to more patients in our community.
Bigger. Faster. Better!
COMFORT
- Widest bore on market (75 cm) with a starlight ceiling
- Headset provides music and communication
- Free breathing capability with ultra short breath holds
2X FASTER EXAM TIMES
- 50% shorter examinations
- Less claustrophobia, Stress & Anxiety
- Al-Empowered Compressed Sensing (uAI ACS)
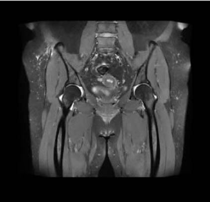
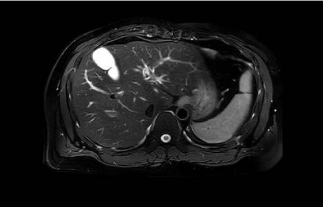
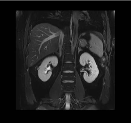
EXCEPTIONAL IMAGE QUALITY
- Best-in-class homogeneity and gradient performance
- World’s largest field of view (60x60x50 cm)
- Motion insensitive sequences for clearer images
